The 738-amino acid protein has a reported mass of 82522 daltons. PathPlus PECAM-1 CD31 Antibody LS-B4737 is a pathologist validated IHC antibody Rabbit anti-Mouse PECAM-1 CD31.
Pecam1 cd31 peca1 gpiia pecam-1 endocam cd31endocam 29 citations have been found for this product All applications Flow cytometryCell sorting FCFACS Immunocytochemistry ICC Immunocytochemistry-immunoflourescence ICC-IF Immunofluorescence IF Immunohistochemistry IHC Immunohistochemistry-frozen tissue IHC-Frozen.
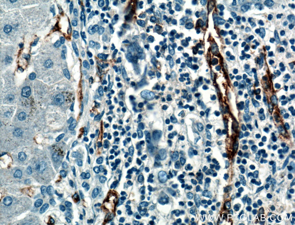
Anti mouse cd31 antibody for immunohistochemistry. Immunohistochemistry FormalinPFA-fixed paraffin-embedded sections - Anti-CD31 antibody ab28364 This image is courtesy of an Abreview submitted by Mr. Immunohistochemistry FormalinPFA-fixed paraffin-embedded sections analysis of human tonsil tissue labelling CD31 with ab28364 at 150 dilution 30 minutes at 23C. 10 Neutral buffered formalin used as fixative.
The CD31 antibody is a mouse monoclonal antibody targeting human CD31. Validated for IHC and tested on formalin fixed paraffin-embedded human tissues. Immunohistochemistry analysis of Formalin-fixed paraffin-embedded Human Hemangioendothelioma using CD31 antibody.
CD31 platelet endothelial cell adhesion molecule-1 PECAM-1 is an inhibitory coreceptor involved in regulation of T cell and B cell signaling by a dual immunoreceptor tyrosine-based inhibitory motif ITIM that upon associated kinases-mediated phosphorylation provide docking sites for. Anti-mouse CD31 clones 390 and MEC133 bind to their respective non-overlapping epitopes in IgD2 of CD31. 8 Additional reported applications for the relevant formats include.
Immunoprecipitation 1 in vitro and in vivo blocking of CD31-mediated cell-cell interactions 1-4 and immunohistochemical staining 567 of acetone-fixed frozen sections and zinc-fixed paraffin-embedded sections. The MEC133 antibody specifically recognizes CD31 also known as PECAM-1 Platelet Endothelial Cell Adhesion Molecule-1. CD31 is a 130 kDa integral membrane protein a member of the immunoglobulin superfamily that mediates cell-to-cell adhesion.
Immunofluorescent analysis of 4 PFA fixed human tonsillitis tissue using 66065-1-Ig CD31 antibody at dilution of 1200 and Alexa Fluor 488-conjugated AffiniPure Goat Anti-Mouse IgG HL. This product is not currently available. We recommend the CD31 Mouse Monoclonal antibody 66065-2-Ig.
Immunocytochemistry - Anti-CD31 antibody P2B1 ab24590 ab24590 staining CD31 in HUVEC cells. The cells were fixed with 4 paraformaldehyde 10 min permeabilized with 01 Triton X-100 for 5 minutes and then blocked with 1 BSA10 normal goat serum03M glycine in 01 PBS-Tween for 1h. This mouse anti-rat CD31 antibody crossreacts with pig endothelial cells and platelets as determined by immunohistochemical staining of acetone-fixed frozen sections and immunofluorescent staining with flow cytometric analysis respectively.
A suspension of Lewis rat. CD31 platelet endothelial cell adhesion molecule-1 PECAM-1 is an inhibitory coreceptor involved in regulation of T cell and B cell signaling by a dual immunoreceptor tyrosine-based inhibitory motif ITIM that upon associated kinases-mediated phosphorylation provide docking sites. The indirect detection of mouse primary antibodies on mouse tissues is often complicated by high background staining.
The major problem is the inability of anti-mouse secondary antibody to distinguish between endogenous mouse immunoglobulins in the tissue and mouse the primary antibody. Listed below are anti-CD31 antibodies from multiple suppliers. CD31 is a reported alias name for the human gene PECAM1 or platelet and endothelial cell adhesion molecule 1.
The 738-amino acid protein has a reported mass of 82522 daltons. The cellular localization is predicted to be membrane-associated. Glycosylation sites have been reported.
PathPlus PECAM-1 CD31 Antibody LS-B4737 is a pathologist validated IHC antibody Rabbit anti-Mouse PECAM-1 CD31. Tested on 20 paraffin-embedded human tissues. CD31PECAM-1 was detected in immersion fixed frozen sections of mouse embryo 14 dpc using Goat Anti-MouseRat CD31PECAM-1 Antigen Affinity-purified Polyclonal Antibody Catalog AF3628 at 10 µgmL for 1 hour at room temperature followed by incubation with the Anti-Goat IgG VisUCyte HRP Polymer Antibody Catalog VC004.
Tissue was stained using DAB brown and counterstained with. CD31 PECAM-1 is a transmembrane glycoprotein member of the immunoglobulin supergene family of adhesion molecules. CD31 is expressed by stem cells of the hematopoietic system and is primarily.
The MEC133 antibody reacts with CD31 also known as PECAM-1 Platelet Endothelial Cell Adhesion Molecule-1. CD31 is a 130 kDa integral membrane protein a member of the immunoglobulin superfamily that mediates cell-to-cell adhesion. Anti-CD31 Antibody hCD31 See all CD31 primary antibodies.
Mouse monoclonal hCD31 antibody to CD31. For staining use 10µl106 cells. Pecam1 cd31 peca1 gpiia pecam-1 endocam cd31endocam 29 citations have been found for this product All applications Flow cytometryCell sorting FCFACS Immunocytochemistry ICC Immunocytochemistry-immunoflourescence ICC-IF Immunofluorescence IF Immunohistochemistry IHC Immunohistochemistry-frozen tissue IHC-Frozen.